Más que estética: sonrisas sanas, seguras y únicas
Una sonrisa bonita no es solo una cuestión de estética dental. Es seguridad. Es bienestar. Y es también el reflejo de una boca sana.
En RB Clínica Odontológica entendemos la estética dental como una parte esencial del cuidado bucodental. No buscamos sonrisas perfectas en serie, sino resultados reales que respeten la fisonomía, la personalidad y las expectativas de cada persona.
A través de tratamientos mínimamente invasivos y materiales de alta calidad, diseñamos sonrisas que se ven bien porque están bien. Con naturalidad, equilibrio y criterio clínico.


¿Qué conseguimos con un tratamiento de estética dental?
La estética dental no solo busca mejorar la apariencia estética de los dientes. Su objetivo es mejorar la forma, el color y la proporción dental en armonía con el resto de los rasgos faciales, asegurando a la vez la funcionalidad y la salud oral.
- Mejorar la forma, el color y la proporción de los dientes.
- Corregir asimetrías, fracturas o desgastes.
- Cerrar espacios o igualar la longitud de las piezas.
- Aclarar el tono de los dientes de forma segura.
- Reforzar la autoestima y la confianza al sonreír.
- Lograr un resultado armónico que se adapte a tu rostro, tu edad y tu estilo de vida.
Cada caso se estudia de forma personalizada, con una planificación detallada y una visión integral: estética, funcional y conservadora.
¿Qué tratamientos de estética dental realizamos?
En nuestra clínica dental en La Eliana contamos con un equipo especializado en estética dental avanzada. Estos son los tratamientos que más realizamos:
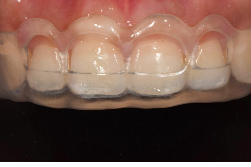
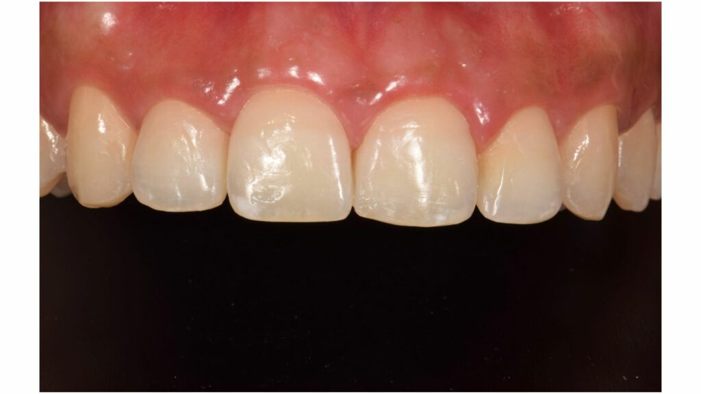
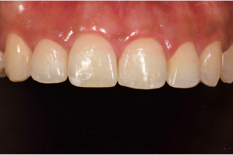
Carillas dentales
Transformamos tu sonrisa sin perder tu esencia.
forma, color y proporción. Son ideales para corregir pequeños defectos, cerrar diastemas o rejuvenecer la sonrisa sin tratamientos invasivos. Trabajamos con dos tipos de carillas, según las necesidades y preferencias del paciente.
Fabricadas a medida en laboratorio con cerámica de alta estética, ofrecen una excelente integración, durabilidad y estabilidad del color. Requieren una preparación mínima del diente y se recomiendan en casos donde se busca un cambio más estructural o una mayor longevidad del resultado.
Utilizamos técnica inyectada de composite, un procedimiento altamente conservador que permite aplicar capas milimétricas de material directamente sobre el diente sin necesidad de tallarlo. El resultado es preciso, estético y reversible. Se realiza en una sola sesión y es ideal para casos de desgaste, diastemas o retoques estéticos localizados.
Blanqueamiento dental
Un tratamiento seguro y eficaz para devolverle luz a tu sonrisa.
El paso del tiempo, la alimentación o determinados hábitos pueden oscurecer el esmalte. El blanqueamiento profesional permite aclarar varios tonos el color del esmalte dental sin dañarlo. Utilizamos agentes blanqueadores clínicamente testados, que actúan sobre las capas externas del diente para devolverle su color natural.
En función de tu caso, podemos realizar:
- Blanqueamiento en clínica.
- Blanqueamiento ambulatoriocon férulas personalizadas para casa.
- Blanqueamiento combinado,que suma los beneficios de ambos procedimientos.
Todo el proceso se realiza bajo supervisión profesional, garantizando la seguridad, el control del resultado y la ausencia de efectos secundarios significativos.


Diseño digital de sonrisa
Planificamos tu nueva sonrisa antes de empezar el tratamiento.
El diseño digital de sonrisa es una herramienta que nos permite visualizar cómo podría quedar tu sonrisa antes de tocar un solo diente. A través de fotografías, un escáner intraoral 3D y software de simulación, estudiamos la relación entre los dientes, las encías, los labios y la expresión facial.
Esto nos permite:
- Resultados precisos y predecibles.
- Ajustar el tratamiento a tus expectativas reales.
- Trabajar de forma más precisa y predecible.
- Implicarte en el proceso de decisión desde el inicio.
- Conseguir un resultado más natural y adaptado a ti.
El diseño digital es especialmente útil en tratamientos que integran diferentes especialidades como la ortodoncia y la estética dental.
Nuestra forma de trabajar
En RB Clínica Odontológica tratamos la estética dental con la misma precisión clínica que el resto de especialidades. Para nosotros, mejorar una sonrisa no es simplemente una cuestión estética, lo que buscamos es restaurar el equilibrio natural entre dientes, encías, labios y expresión facial, manteniendo siempre la funcionalidad y la salud bucodental.
Trabajamos con materiales premium, tecnología de planificación avanzada y laboratorios especializados en estética dental. Y lo más importante: te escuchamos, te guiamos y te acompañamos durante todo el proceso.
Nuestros principios:

Conservación

Funcionalidad

Personalización

Naturalidad

Coronas de porcelana de recubrimiento completo
Reconstrucción estética y funcional para dientes debilitados.
LReconstrucción estética y funcional para dientes debilitados.
Las coronas de porcelana son restauraciones completas que recubren todo el diente. Se utilizan en casos donde existe una pérdida importante de estructura dental, por caries extensas, fracturas o tratamientos de endodoncia.
Fabricadas a medida y con materiales cerámicos de alta resistencia, estas coronas permiten:
- Recuperar la estética de un diente dañado o descolorido.
- Restablecer la función masticatoria y la forma original.
- Integrarse de forma natural con los dientes vecinos.
- Proteger la pieza frente a nuevas fracturas o desgastes.
Son una solución duradera y estética, especialmente indicada para piezas posteriores o visibles con pérdida significativa de estructura.
Alargamiento coronario
Redefinir proporciones para una sonrisa más armónica.
El alargamiento coronario es un procedimiento mínimamente invasivo que permite modificar la forma de las encías para exponer una mayor parte del diente. Se realiza cuando las encías cubren más de lo habitual o cuando se requiere aumentar la longitud del diente por razones estéticas o funcionales.
Este tratamiento está especialmente indicado para:
- Corregir sonrisas gingivales o dientes pequeños.
- Mejorar la proporción diente-encía.
- Preparar una pieza para restauraciones estéticas más precisas (carillas o coronas).
- Estabilizar el contorno gingival tras un tratamiento restaurador.
El resultado es una sonrisa más equilibrada, con una exposición dental adecuada y natural.
¿Estás pensando en mejorar tu sonrisa?
Un tratamiento de estética dental no es solo para grandes transformaciones. A veces, un pequeño cambio bien ejecutado marca una gran diferencia. Si sientes que tu sonrisa ya no refleja lo que quieres transmitir, en RB Clínica Odontológica podemos ayudarte.
Pide tu primera cita sin compromiso. Te asesoraremos con honestidad, estudiaremos tu caso con precisión y diseñaremos contigo el camino hacia una sonrisa que te represente.



