Rehabilitación oral

Rehabilitación oral

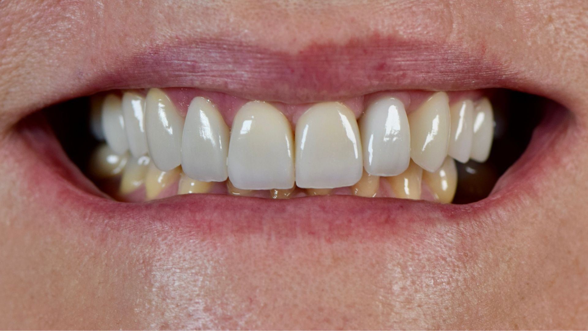
Caso clínico 1

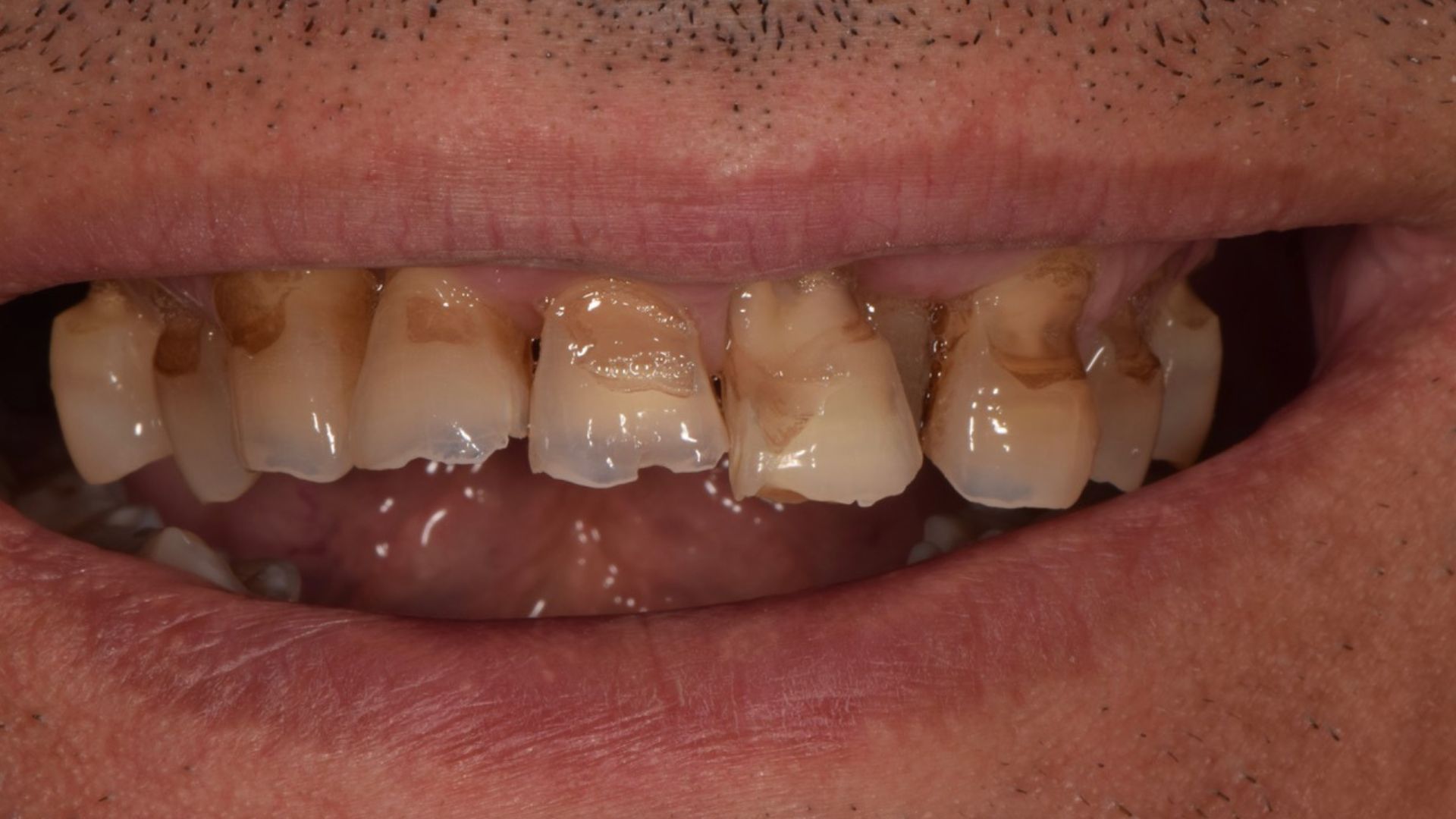
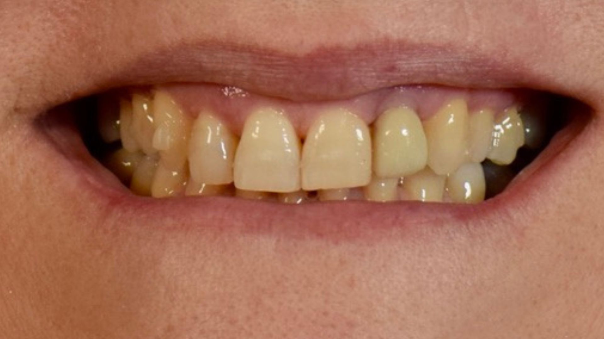
Caso clínico 2

PIDE TU CITA