La salud de tus encías: la base de una sonrisa duradera
Cuidar tus encías es tan importante como cuidar tus dientes. Aunque solemos prestar más atención a lo que se ve, lo cierto es que los tejidos que rodean y sostienen los dientes (la encía y el hueso alveolar) son la base de una sonrisa funcional y duradera.
En RB Clínica Odontológica trabajamos la periodoncia como una especialidad clave para prevenir la pérdida dentaria, mantener la salud oral y conservar la estética de la sonrisa. Porque unos dientes bonitos no sirven de nada si el tejido que los sujeta está dañado.

¿Qué es la periodoncia?
La periodoncia es la rama de la odontología que se encarga de prevenir, diagnosticar y tratar las enfermedades que afectan a las encías y al hueso que sostiene los dientes. Aunque a menudo pasa desapercibida, es una especialidad fundamental para preservar la salud bucodental a largo plazo.
El principal foco de la periodoncia es la enfermedad periodontal, un proceso inflamatorio crónico causado por la acumulación de bacterias en la zona subgingival. Esta enfermedad avanza de forma progresiva, afectando primero a la encía (gingivitis) y, si no se trata, destruyendo el hueso que sostiene los dientes (periodontitis).
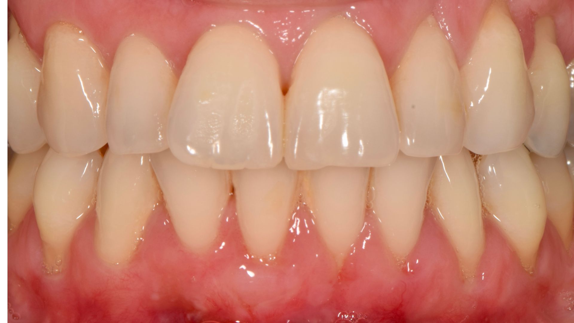
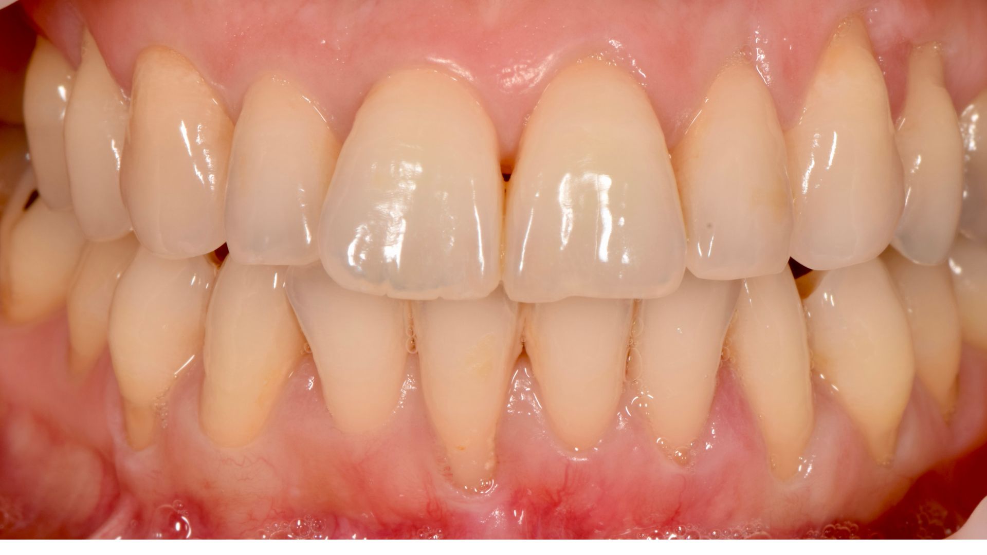
Es una patología muy común en adultos y, sin embargo, pocas personas son conscientes de su impacto. Puede evolucionar de forma silenciosa durante años, hasta que aparecen síntomas visibles como retracción de encías, movilidad dental o incluso pérdida de piezas.
¿Cómo saber si tengo una enfermedad periodontal?
Estos son los signos más frecuentes que pueden indicar la presencia de una enfermedad de las encías:
- Sangrado al cepillarte o al usar hilo dental.
- Inflamación, enrojecimiento o sensibilidad en las encías.
- Mal aliento persistente, incluso con buena higiene.
- Retracción de encías o dientes que se ven más largos.
- Aparición de espacios entre los dientes.
- Sensación de movilidad o dientes que “bailan”.
- Molestias al masticar o cambios en la mordida..
Si identificas uno o varios de estos síntomas, lo recomendable es realizar una revisión periodontal lo antes posible. Un diagnóstico precoz puede evitar tratamientos más complejos e incluso la pérdida de piezas.

Tratamientos periodontales en RB Clínica Odontológica
En nuestra clínica en La Eliana realizamos una valoración periodontal completa para diagnosticar el estado de las encías y del hueso de soporte. En función de la fase de la enfermedad, aplicamos el tratamiento más adecuado, siempre con un enfoque personalizado y basado en la evidencia clínica.
Es el primer paso en el tratamiento de la periodontitis. Consiste en eliminar la placa bacteriana y el cálculo (sarro) acumulado por debajo de la encía, en la raíz del diente.
Este procedimiento se realiza bajo anestesia local y con instrumental específico, y es fundamental para detener la progresión de la enfermedad.
El objetivo es eliminar los focos infecciosos, reducir la inflamación y facilitar la reanudación de una higiene oral eficaz por parte del paciente.
En casos avanzados donde los raspados no son suficientes, puede ser necesario realizar cirugía periodontal. Esta técnica permite acceder de forma directa a las bolsas profundas para eliminar el cálculo, remodelar el hueso si es necesario y facilitar una cicatrización adecuada del tejido.
También permite eliminar deformidades óseas, reducir la profundidad de las bolsas periodontales y mejorar la accesibilidad para la higiene.
Cuando se ha producido una retracción gingival o se desea mejorar el contorno estético de las encías, se puede realizar un injerto de tejido blando. Este procedimiento permite cubrir raíces expuestas, reforzar zonas con encía fina y devolver una apariencia más armónica a la sonrisa.
Los injertos no solo cumplen una función estética, sino también protectora: aumentan la resistencia de la encía frente a nuevos daños.
En algunos casos, cuando el daño óseo es localizado y las condiciones son favorables, se puede realizar una técnica regenerativa que busca recuperar parte del hueso perdido mediante el uso de materiales bioactivos, membranas y factores de crecimiento.
Esta técnica se emplea tras una fase de desinfección profunda y con una planificación muy cuidadosa. No todos los casos son candidatos, pero cuando se puede aplicar, los resultados pueden ser muy positivos a nivel funcional y de soporte.
¿Cómo prevenimos la enfermedad periodontal?
La mejor herramienta es la prevención. Estas son algunas medidas clave que ayudan a mantener tus encías sanas:
1Cepillado correcto
2Uso regular de
3Evitar el tabaco
4Controlar enfermedades sistémicas
2Revisiones periódicas
En nuestras revisiones te enseñamos cómo mantener una rutina de higiene adaptada a tu caso, con especial atención si usas ortodoncia, prótesis o tienes antecedentes periodontales.
Mantenimiento periodontal
Clave para el éxito a largo plazo
Tratar la enfermedad periodontal no termina con la terapia inicial. Uno de los pilares del éxito a largo plazo es el mantenimiento periodontal, un programa de revisiones periódicas y limpiezas profundas que permite controlar la reaparición de la infección y asegurar la estabilidad del tejido tratado.
En RB Clínica Odontológica diseñamos un plan de mantenimiento individualizado para cada paciente, con una frecuencia de control adaptada a su situación, su riesgo y su capacidad de higiene diaria.
Durante estas visitas:
- Evaluamos el estado de las encías.
- Medimos la profundidad de las bolsas.
- Reforzamos la técnica de higiene si es necesario.
- Eliminamos placa y sarro subgingival
- Actuamos de forma temprana ante cualquier signo de recaída.
Este seguimiento regular es, en muchos casos, la diferencia entre conservar los dientes o perderlos con el tiempo.
¿Cómo trabajamos?
En nuestra clínica dental en La Eliana seguimos un protocolo claro, transparente y adaptado a ti:

Diagnóstico preciso
Realizamos un diagnóstico periodontal exhaustivo desde la primera visita.

Tratamiento personalizado
Abordamos el tratamiento con criterio clínico, tecnología y precisión.

Prevención continua
Apostamos por la prevención y el seguimiento activo a largo plazo.

Cirugía avanzada
Ofrecemos tratamientos quirúrgicos y regenerativos avanzados.

Comunicación transparente
Mantenemos una comunicación constante y honesta con el paciente.

Educación y autocuidado
Priorizamos la educación en higiene oral y el autocuidado.
Cuida tus encías. Protege tu sonrisa.
Si tienes sangrado, retracción o movilidad en algún diente, no lo dejes pasar. El diagnóstico precoz puede marcar la diferencia entre conservar tus piezas o perderlas con el tiempo.
Pide tu primera cita sin compromiso. Valoraremos tu caso, te explicaremos el estado de tu salud periodontal y diseñaremos un tratamiento personalizado para recuperar la salud de tus encías.
